這次涉及一宗診斷延誤的醫療糾紛,經「香港醫療及保健聯合調解中心」(HJDC)成功調解。個案中一名五十八歲非吸煙者因持續咳嗽求醫,卻在一年後才確診肺癌三期,病人及家屬原向醫生追討港幣三百萬元賠償,最終透過專業調解達成雙贏方案。
事主陳先生,五十八歲,非吸煙人士,因持續咳嗽及疲勞到私人診所求醫。家庭醫生黃醫生初步診斷為支氣管感染後遺症,處方抗生素治療。其後六個月內,陳先生先後六次複診,表示疲勞加劇及出現呼吸困難,但症狀均被判斷為壓力或病毒感染後綜合症。
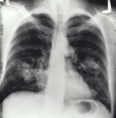
直至第六次求診,黃醫生才安排胸部X光檢查。放射科報告顯示左肺有「微小陰影」,結論為「可能屬良性瘢痕或輕微感染」,建議十二個月後覆查。黃醫生雖向陳先生轉達結果,但未建議進一步檢查。
十二個月後,陳先生工作期間突然昏倒,送公立醫院急症室後,經CT掃描及活檢確診三期肺癌,並已擴散至骨骼。腫瘤科醫生指出,腫瘤很可能已存在逾一年,診斷延誤令陳先生錯失早期治療良機,大大減低治瘉機會。
陳先生與家屬認為黃醫生涉診斷延誤,透過律師提出三百萬元索償。黃醫生經法律諮詢後,主動建議透過調解解決糾紛。雙方同意向HJDC申請調解,中心評估後認為個案適合調解,並委任經驗豐富的調解案件經理協調程序。
在案件經理協助下,雙方十日內共同委任一位複雜醫療糾紛調解專家。雙方律師均具認可調解代理資格,自然擔任調解代理角色。為確保評估公正,雙方同意透過HJDC委聘單一聯合專家撰寫調查報告,提供專業參考。
下期筆者將會繼續跟大家分享調解過程及和解方案,揭示專業調解如何化解醫療糾紛。
撰文:羅偉雄博士(Dr. Francis Law)
資深國際商業顧問及糾紛解決專家,擁有近三十年公共行政、人事、衝突及國際貿易管理的經驗,為香港和解中心會長、內地-香港聯合調解中心聯合主席、粵港澳商事調解聯盟副主席、香港調解資歷評審協會有限公司理事、澳門科技大學和澳門城市大學客席高級講師、前海法院專家陪審員、首席調解培訓師、首席評審、資深國際調解專家及仲裁員。